Careful care before and after the surgery.

  • 2023-05-14T14:32:00+04:30

Preoperative care of rhinoplasty: Not taking anticoagulant drugs according to the doctor's opinion Not taking vitamin E, C, ginseng and all painkillers except acetaminophen for one week before surgery Do not take any supplements for 3 weeks prior to surgery No smoking or alcohol consumption for 2 weeks prior to su

Read more

What is hemorrhoid?

  • 2023-05-14T14:31:00+04:30

Click the button below to receive the training file Download    

Read more

Aftercare of cataract surgery

  • 2023-05-14T14:30:00+04:30

  Click the button below to receive the training file   Download the first file       Download the second file  

Read more

General Guide to the Use of Eye Medications

  • 2023-05-14T14:14:00+04:30

Click the button below to receive the training file   Download File

Read more

Aftercare of Otoplasty

  • 2023-05-14T14:12:00+04:30

Click the button below to receive the training file   Download File

Read more

Postoperative care of ACL or ACL rupture

  • 2023-05-14T14:11:00+04:30

Click the button below to receive the training file   Download File

Read more

Admission Procedures in the Center

  • 2023-05-14T13:38:00+04:30

    All admission procedures in Sepid Surgery Center are as follows: The patient is examined by referring to the physician in the office. If the surgery is needed, he is referred to the reception department and according to the order of hospitalization and based on the type of surgery required for the patient, he

Read more

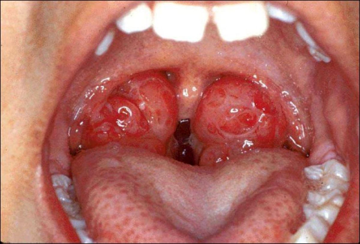
Tonsillectomy

  • 2023-05-14T13:37:00+04:30

Tonsillectomy The tonsils are small glands located at the back of the throat. To fight infection, tonsils contain white blood cells and are part of the immune system, but sometimes they become infected themselves. Reasons for tonsillectomy Breathing and snoring problems Tonsillitis and frequent throat infections Tons

Read more